- 川崎市の歯周病・インプラントなら「さとう歯科医院」TOP
- 歯周組織再生療法
川崎市宮崎台の歯医者「さとう歯科医院」は、専門性の高い歯周治療とインプラント治療をご提供しています。こちらでは、歯周病が中等度~重度に進行し、歯槽骨(歯を支えている骨)が大きく吸収した(溶けた)状態から歯槽骨を再生させる「歯周組織再生療法」についてご説明します。
歯槽骨を再生させる
「歯周組織再生療法」とは?

歯周病にかかると、歯周ポケットにたまった細菌により、まず歯肉に炎症が起こります。そのため、腫れぼったい歯肉になります。炎症を起こした歯肉は出血しやすく、ブラッシング時に出血することもあります。いわゆる歯肉炎の状態です。
さらに歯周病が進行すると、歯を支えている歯槽骨が吸収(溶ける)されていきます。歯周病が進行すると歯肉は一見正常に見えていても、実は見えないところで歯槽骨の吸収が進行していることがあります。歯がぐらつき始めてようやく気がつくことも珍しくありません。
歯周病によって吸収されてしまった歯槽骨は、一昔前までは元に戻すことができませんでした。しかし現在では、「歯周組織再生療法」という治療によって歯槽骨を元に戻すことができるようになりました。ただし、適応症があるため診査・診断がとても重要となります。
当然ではありますが、軽度であるほど成功率が高くなります。したがって、歯周病があまりにも進行してしまうと歯周組織の再生が困難になってしまうため、早めに治療を受けることが大切です。
また、歯周組織再生療法は高度な専門性が求められる治療であるため、歯周外科の特別なスキルが必要となります。
歯周病の進行具合と
歯周組織再生療法の関係

口腔内にできるプラークや歯石には、歯周病原細菌を始めとした大量の細菌が棲みついています。日々のケアが不十分で、歯と歯ぐきの境目に慢性的なプラークや歯石の付着があると「歯周ポケット」と呼ばれる深い溝が作られます。そして、歯周ポケット内でさらに細菌が増殖していく悪循環を生み出します。やがて、歯周ポケットはさらに深くなりながら歯槽骨の吸収を伴い歯周病が進行していきます。
歯槽骨の吸収は、歯周ポケット内の細菌感染から生体が防御しようと一定の距離を保とうとした結果起こる現象です。したがって、進行した歯周病を完治させるには、細菌が定着する深い歯周ポケットを本来の浅い健康な歯肉溝に改善することが大切で、治療の目標となります。そのためには、歯周組織再生療法は有効な選択肢の1つとなります。
歯周組織再生療法が適応するケースと
しないケース

歯周病の進行によって起こる歯槽骨の吸収は、患者様の口腔内環境によって状態が異なります。例えば、歯の根に沿って垂直的に歯槽骨が吸収されていく「垂直性吸収」であれば、再生療法で歯槽骨を再生できる可能性が高くなります。水平的に吸収される「水平性吸収」の場合は、再生療法ではなく深い歯周ポケットを切除する(切除療法)方法を選択する可能性が高くなります。
このように、歯周再生療法には適応する症状・適応しない症状があるため、治療前に患者様の症状を丁寧に診査・診断しご説明しています。歯周組織再生療法が適応しない場合や、患者様がご高齢などの理由で治療が難しいと判断した場合などは、外科的な治療以外の方法(非外科療法)を選択することもあります。
再生療法の具体的な治療方法について

再生療法には、現在日本で用いられている薬剤が2種類あります。日本で臨床応用されて20年以上(1998年日本で臨床応用開始)の安全性が証明されているスイスのストローマン社製のエムドゲイン®と言う製品と、日本の科研製薬社製のリグロス®と言う製品で、この製品は2016年より臨床応用が開始されています。両者とも非常に安全性の高い薬剤です。
再生療法の術式はシンプルで、歯肉を注意深く剥離し歯根面に付着した歯石などの汚染物質の除去後、速やかに上記薬剤のいずれかを選択し、塗布し縫合します。歯肉にダメージを与えずに剥離縫合するため、非常に繊細な手術になります。
歯槽骨の再生には、概ね6カ月~12カ月ほど要します。また、歯槽骨の再生量は、年齢や吸収の度合い等により異なり一般的に100%の再生が望めないことが多く、主に重度の歯周病を軽度に改善するイメージになります。したがって、再生が完了後に歯周環境を整備する歯周外科手術が必要となります。骨を再生すれば終わりではなく最終的に歯周ポケットを健康な浅い歯肉溝に改善することが非常に重要なステップとなります。
【使用薬剤の種類】
エムドゲイン® スイス ストローマン
リグロス® 日本 科研製薬
歯周組織再生療法を中心にした
総合治療の症例
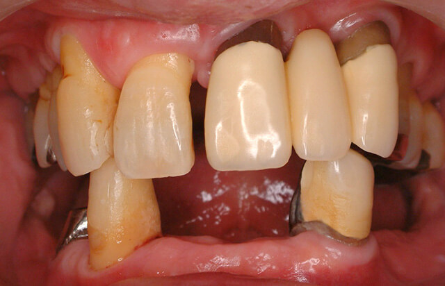
治療前
歯周病の進行に伴い、歯槽骨が吸収して全ての歯が動揺していました。
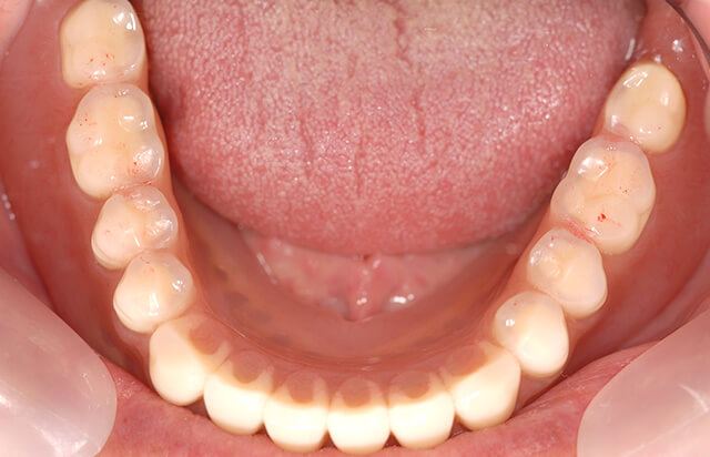
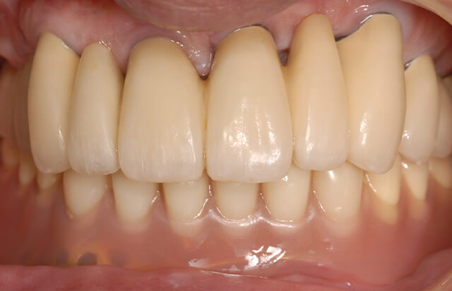
治療後
上顎は、歯の動揺を再生療法による歯槽骨の回復と全ての歯を連結固定することで改善しました。歯の位置の不正は、矯正治療により改善しました。下顎は、2本の歯を保存することができましたが、歯根が弱いため歯根のみを残し総義歯内面の磁石を装着し義歯の維持を強化しています。歯周組織は、歯周外科により歯肉が強化され厚みのある歯肉を獲得でき、非常にブラッシングしやすい環境が整備されました。
初診より17年 治療終了後12年
ブラッシングしやすい歯周環境が獲得できたため、良好なプラークコントロールが維持された結果、治療終了時の状態が良好に維持されています。
| 症例タイトル | 重度慢性歯周炎 |
|---|---|
| 患者様のお悩み | 歯周病による口臭 |
| 治療内容 | 再生療法・歯周外科・矯正治療 |
| 年齢 | 50代 |
| 性別 | 男性 |
| 治療期間 | 5年 |
| 治療費 | 税込 ¥2,310,000~2,530,000 (税別 ¥2,100,000~2,300,000) |
| 治療で得られるメリット | 再生療法による歯槽骨の再生と歯周外科による歯周ポケットの改善により、再発の少ない歯周環境を獲得できます。 |
| 治療する際に起こる リスク・副作用 |
歯周外科後は、術後の腫れが1週間程度続く場合があります。継続的なメインテナンスを怠れば歯周病に再罹患する可能性があります。 |
患者様にとってベストな選択が
できるようにサポート

川崎市宮崎台に「さとう歯科医院」を開業してからの30年間、歯周病に真正面から向き合ってきました。日々の診療の中で、歯周病に対する専門的な知識と治療実績を積み重ねてきました。
それらの裏付けがあるからこそ、歯周組織再生療法によって「残せる歯」「治療次第で残せる歯」「治療しても残せない歯」を的確に判断することができます。また、患者様の年齢と生活習慣や健康状態などを総合的に判断して、歯を残すか否かを患者様とご一緒に検討していきます。
- ご予約・お問い合わせ044-888-5233
- Webからのご予約Web診療予約





















