- 川崎市の歯周病・インプラントなら「さとう歯科医院」TOP
- 長期症例紹介
長期にわたり経過観察を続けた症例を
ご紹介します

川崎市宮崎台の歯医者「さとう歯科医院」の院長は、日本臨床歯周病学会の認定医として高度な歯周治療を手がけています。当院は、歯周治療とインプラント治療の実績と経験が豊富です。
歯周病は、歯周病源細菌の感染が原因と言われています。感染している細菌叢は、人それぞれ異なり、中には重症化リスクの高い細菌も存在します。中等度から重度の歯周病に罹患された方は、感染している歯周病源細菌に対する免疫力が弱い可能性があります。中高年にさしかかり免疫力が低下してくる頃は、特に注意が必要です。歯周病が治癒したとしても、長期的な口腔内の管理をしていないと、歯周病以外にもさまざまな問題を起こすことがあります。
歯肉退縮と歯根破折にも注意が必要

長期的な問題としては、歯肉退縮と歯根破折があります。歯肉退縮は、健康な歯肉が下がって歯根が露出した状態を言います。歯肉の厚みが薄い歯に起こりやすい傾向があり、過度のブラッシングで進行することもあります。露出した歯根は虫歯になりやすく、不適切なブラッシングで歯根が削れることもあります。現在では、歯肉退縮を歯周外科処置で予防することも可能になりました。
歯根破折は、神経を取った歯根に起こりやすくなります。近年では、歯根破折で失った歯をインプラント治療により、早期に咬合を回復できるようになりました。
歯周組織の健康を維持するためには
長期メインテナンスが必要

インプラント周囲には、歯と同様に歯周組織があるため歯周病の管理は必須です。多くの細菌が常在する口腔内は、経年的にさまざまな問題を起こす可能性があります。長期的に歯周組織の健康を維持するために、長期メインテナンスが重要であることは、多くの長期症例からも証明されています。
こちらでは、長年にわたり治療後のメインテナンスを継続された患者様の症例をご紹介します。
症例紹介
中等度慢性歯周炎の症例
| 患者様のお悩み | 左下の犬歯が揺れる |
|---|---|
| 治療内容 | 治療開始:1995年4月 全顎的に歯周炎が慢性的に進行し、歯槽骨の吸収が見られました。初期治療として口腔内の清掃とプラークコントロールを行いながら十分な説明を行い、患者様と相談の上で治療計画を作成しました。進行した歯周病に対しては歯周外科処置を行い、歯周ポケットを健康な状態に改善した後、揺れだした歯の固定を兼ねて上顎の歯牙は全てセラミックによる連結固定を行っています。 この当時のインプラント治療や歯周組織再生治療は、今ほど学問が成熟していなかったため適応症が限られていました。しかし、先端医療が進歩した現在では、当時とは異なる治療計画を提案していたかもしれません。 |
| 年齢 | 45歳 |
| 治療期間 | 概ね2年 |
| 治療費 | ¥1,460,000~2,000,000(5%税込み) ※1997年当時 |
| 治療で得られるメリット | 歯周外科を行うことで歯周ポケットを健康な状態に改善できるため、患者様のセルフケアで健康な歯周組織の維持ができます。 進行した歯周病では、揺れだした歯牙を連結固定することで動揺歯が固定されるため、1本の歯にかかる負担が軽減できしっかりと噛むことができます。 |
| 治療する際に起こる リスク・副作用 |
歯周病は、患者様のプラークコントロールの不良や免疫力等が大きく左右し、歯周病の罹患しやすさが異なるため、健康な口腔内を維持するためにメインテナンスが特に重要となります。 自分では気が付ない部位に磨き残しがあれば、歯周病の再発や虫歯の原因になります。夜間の歯の喰いしばりなどで歯根破折を起こすこともあるので、予防のためにナイトガードの使用を推奨しています。 |
治療前
全体的に歯肉は発赤し、特に上顎左側の臼歯部は歯槽骨の吸収に伴い歯根の露出が多く見られます。
治療後
ここまでの治療期間は、概ね2年になります。(下顎右側は、一部治療途中)
上顎臼歯部は、歯周ポケットを改善するため歯周外科を行いました。これは、歯の動揺を改善するためです。歯列全体は、セラミックにより連結固定しています。
1990年代後期は、現在ほどインプラント治療が普及していなかったため、下顎の左側は歯周外科後にブリッジにより欠損部を回復しています。
*治療開始時期と終了当時はデジタルカメラが普及しておらず、スライドフィルムから起こした画像なので不鮮明な写真になっています。
10年後
終了から10年経過していますが、歯周組織は良好に維持できています。
メインテンスを継続されている患者様の努力が、良好な歯周組織の維持に大きく寄与しています。
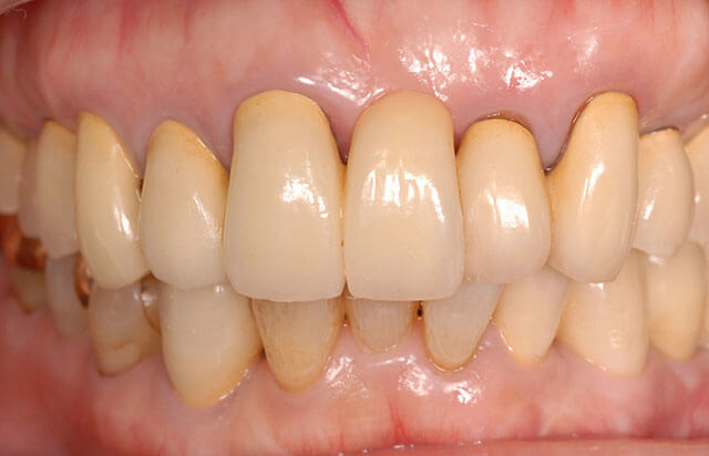
終了から21年後
治療終了から21年、初診から23年経過がしています。
上顎の歯周組織は、患者様の意識の高さと努力によりメインテナンスが継続されているので、比較良好な状態を維持できています。
長い時間の経過とともに、左側前歯の歯肉は磨き過ぎによりやや歯根の露出が目立つようになってきました。
下顎左側のブリッジは残念ながら歯根破折を起こし、20年後にインプラント治療による再治療が必要となりました。
「写真:破折した歯を抜歯してインプラントで回復した状態」
問題を早期に発見して早期に治療(機能回復)するためには、メインテナンスの継続が非常に大切です。
- ご予約・お問い合わせ044-888-5233
- Webからのご予約Web診療予約











